
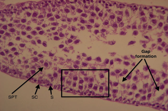
Figure 3. Longitudinal section of a fresh testicular tubule (Group A). The different cells that make up the tubular architecture can be easily made. SC: Sertoli cells; S: spermatogonia cells; SPT: spermatocytes. Formation of intercellular gaps (arrows). See the preservation of tissue architecture in the square (intercellular relation). Magnification 100X.